임희철 대표원장 칼럼,
다양한 치과 정보를 얻으세요.
15년간 한자리를 지켜온 뿌리사랑치과는
3대가 함께 찾는 가족 주치의로서 정직한 진료를 이어갑니다.
3대가 함께 찾는 가족 주치의로서 정직한 진료를 이어갑니다.

안녕하세요. 12년동안 한 곳에서 환자들의 구강을 책임지고 있는 치과의사 임희철입니다. 씹을 때 힘이 가지 않거나 통증이 나타난 경험을 하신 적이…

안녕하세요. 파주야당치과 15년 경력의 통합진료 치과의사 임희철입니다. 오늘은 구호흡을 하면 우리에게 문제가 되는것은 ? 그리고 또 다른 습관으로 인하여 구강에…

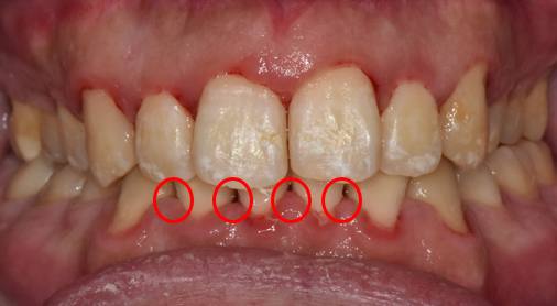
안녕하세요. 운정치과 15년 경력의 치과의사 대표원장 임희철입니다. 오늘 보시는 분들께 뿌리사랑치과에서 하셨던 분의 케이스 보여드리고 스케일링이라는 좋은 정보를 알려드리면 스케일링을 왜…

반갑습니다. 한 곳에서 꾸준히 치과진료를 하고있기에 많은 분들이 찾아주시는 “양심적인 치과, 아프지 않게 진료”하는 파주야당치과 15년 경력의 통합진료 임희철 대표원장입니다. …

프리올소 뮤잉 방법은 구강근기능요법의 일종으로 구강 안에 구강근기능장치(프리올소)를 착용 후 혀,입술,뺨 등 구강주변근육의 기능을 향상 시켜주며 악성구강습관과 치열이 고르게 될 수 있도록…

