임희철 대표원장 칼럼,
다양한 치과 정보를 얻으세요.
3대가 함께 찾는 가족 주치의로서 정직한 진료를 이어갑니다.

안녕하세요. 3대가 치료받는 치과, 파주 운정뿌리사랑치과 임희철입니다. 어느새 9월이 되어 아침저녁으로 선선한 바람이 불어오고 있습니다. 환절기에는 면역력이 떨어지기 쉬워…

안녕하세요. 3대가 치료받는 파주 운정뿌리사랑치과 임희철입니다. 8월 들어 무더위가 최고에 다다르더니 최근 조금 꺾였는지 아침저녁으로 제법 선선한 바람이 불어옵니다. 계절이…

안녕하세요. 3대가 치료받는 파주 운정뿌리사랑치과 임희철입니다. 8월 들어 무더위가 최고에 다다르더니 최근 조금 꺾였는지 아침저녁으로 제법 선선한 바람이 불어옵니다. 계절이 바뀌는…

안녕하세요. 3대가 치료받는 치과, 파주 운정뿌리사랑치과 임희철입니다. 다른 치과에서는 파노라마만 찍고 임플란트를 하겠다고 하던데… 며칠 전 한 환자분이 이런…

고난도 임플란트 제대로 알고 치료하자. 안녕하세요. 3대가 치료받는 치과, 파주 운정뿌리사랑치과 임희철입니다. 요즘 부쩍 더워진 날씨에 잠시도 에어컨을 끌 수가…

안녕하세요. 3대가 치료받는 치과, 파주 운정뿌리사랑치과 임희철입니다. 벌써 6월이 되어 올해도 절반이 지나가고 있네요. 이제 곧 여름방학을 앞두고 오늘은 청소년기에 해두면…

안녕하세요 ~ 뿌리사랑치과 구강지킴이 대표원장 임희철입니다. 많이들 앓고 있는 염증이 있는데요.. 입안에 염증이 생기면 양치 할 때, 밥먹을 때, 말할 때 등…

안녕하세요. 뿌리사랑치과 임희철 대표원장입니다. 뿌리사랑치과는 교정을 다양하게 진행하고 있습니다. 소아교정 ~ 성인교정까지 진행하면서 환자분들의 불편사항이 무엇인지 들어보고 생각해보며 해결점을 찾으려 노력하…

안녕하세요. 야당치과 구강지킴이 뿌리사랑치과 대표원장 임희철입니다. 오늘은 많은분들이 소개시켜주시고 찾아주시는 진료 ! 임플란트에 관련된 것을 말씀드리려 합니다. 뿌리사랑치과는 10년이상동안 임플란트를 심어드렸던…

안녕하세요. 12년째 한 곳에서 꾸준히 자리를 지키고 있는 구강지킴이 임희철 대표원장입니다. 뿌리사랑치과가 위치한 곳은 아파트가 많은 지역이라 가족분들이 다 함께 진료를 받으시는…

안녕하세요. 뿌리사랑치과 통합진료 치과의사 임희철입니다. 임플란트와 치아는 어떤 곳에 의존을 하고 있을까요 ? 뼈입니다. 뼈가 없으면 치아와 임플란트는 흔들리고 빠지기 마련입니다.…

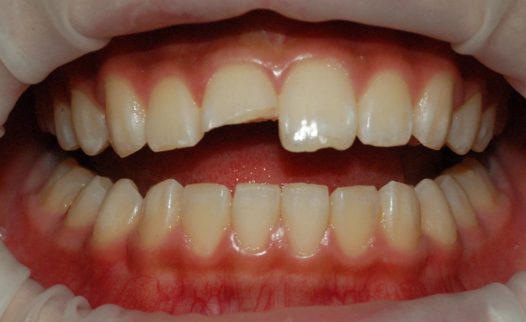
안녕하세요. 12년동안 한 곳에서 환자분들의 구강을 책임지고있는 치과의사 임희철 원장입니다. 앞니로 음식을 잘라먹거나, 앞으로 넘어졌을 경우 앞니를 다치는 경우가…

