안녕하세요.
12년동안 한 곳에서 환자분들의 구강을 책임지고있는 치과의사 임희철 원장입니다.
앞니로 음식을 잘라먹거나, 앞으로 넘어졌을 경우 앞니를 다치는 경우가 많습니다.
그럴경우 간단하게 치아 모양을 회복시켜줄 수 있는 치과치료가 있는데요. 그것이 바로 레진으로 심미치료를 하는 겁니다.
충치가 아니더라도 레진은 다양하게 사용이 되기에 심미로도 적합한 재료이며 치아의 색에 대한 회복도
뛰어나 많이들 사용하는 재료이며 치료방법입니다.
야당동 치과 뿌리사랑치과에서 레진치료를 할 수 있는 심미치료에대해 설명드리겠습니다:)
치아가 파절이되서 내원을 하시는 분들이 생각보다 많으십니다..
최근에 한 환자분께서 파절이되어 치과에 오셔서 이런 말씀을 하셨습니다.
치아가 많이 깨졌어요.. 크라운을 하거나.. 임플란트를 해야 할 것 같아요.. 다른방법은 없나요 ?
“레진치료를 할 수 있는 방법은 있습니다”라는 답변과 동시에
어떤 이유로 깨졌는지에 대한 물음을 하였고.. 앞니로 꽃개를 깨먹다가 파절이 되었다는 답변을 들었습니다..평소에 자주 앞니로 잘라먹거나 다양한 곳에 사용하는 분들이 계시는데 절대 그러시면 안됩니다.. !!특히 테이프를 뜯는 행위들을 많이하시는데 절대 하시면 안되는 행위중에 하나이지요 ~ !! 치아를 소중히 여기셔야 오래 사용할 수 있습니다..
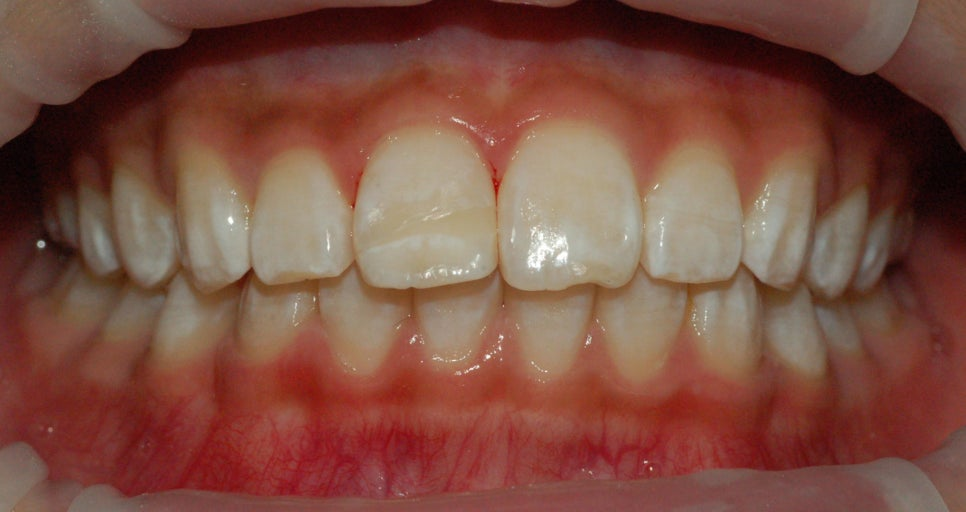
우선, 파절이 어느정도 되었는지 확인부터 해야겠죠 ?

절반 조금 안되게 파절되어있는 걸 보았고.. 답변은 레진으로 가능하다는 말씀을 드렸습니다 ^^
앞 치아면과 뒷 치아면이 다를 수 있으므로 뒷면도 보았습니다.

사진과 같이 뒷치아에도 신경이 노출이 되어있지 않으며 복원만 잘한다면 문제가 없을 것으로 사료되어 치료를 진행하였습니다..ㅎㅎ
여기서 중요한 점은 레진치료로 치아회복이 되었다고 생각하셔서 앞니로 동일하게 잘라먹거나 뜯는 행위를 하시게 된다면 레진은
떨어지거나 다시 파절될 가능성이 높으므로 앞니 사용을 주의하셔야 합니다.

레진치료로 심미를 복원하였고 환자분에게 앞서 말씀드린 주의사항까지 설명을 드렸습니다:)
치아가 파절이 많이 되어있지 않다면 뿌리사랑치과에서는 레진치료를 진행하고있으며 어금니의 경우는 때에 따라 보험이 되는 글래스아이오노모라는 재료로 치료를 하고 있습니다. 크라운이 부담스러운 측면도 사실 있기에, 당일에 끝나는 치료인 레진치료를 하여 치아의 모양을 보기 좋게 만들어 드리고 있습니다.
항상 환자분들에게 어떤 이유 때문에 이렇게 되신건지 물어보고 답변하는 시간을 갖습니다. 그렇게 해야 뿌리사랑치과에 내원해주시는 분들이 알고 가셔서 악순환이 일어나지 않게끔 하는 것이 좋은 구강환경을 만들 수 있기 때문입니다.. 항상 친절히 잘 알고 갈 수 있도록 생각하고 또 노력하겠습니다.
15년간의 쌓인 노하우를 통하여 환자분들의 예전 치아처럼 복원할 수 있도록 도와드리겠습니다. 감사합니다.





